超音波検査
- HOME
- 超音波検査
超音波検査の種類
腹部エコー
腹部エコーではおなかの臓器を幅広く検査することができ、がんの発見にも役立ちます。感染性腸炎(食あたり)による腹痛の場合、ウイルス性腸炎と細菌性腸炎の区別がエコー検査では可能であり無駄な抗生物質の投与を避けることができます。検査時間は約5分です。検査前に患者さまが準備することは特になく、腹痛がある場合はその場で検査できます。
超音波エラストグラフィ-
当院の超音波装置には肝臓の硬さ評価できる機能(Shear Wave Elastography機能)が備わっており、アルコール性肝炎や脂肪肝の予後因子として重要な肝線維化評価を非侵襲的に行えます。
右写真のように肝臓の固い部分(線維化が進行している部分)は赤く表示されます。肝線維化が進行すると慢性肝炎、肝硬変となり肝癌発生率が高くなることが明らかになっています。
頸部エコー
首(頸部)には、甲状腺(代謝に必要なホルモンを分泌する器官)、唾液を分泌する顎下腺(がっかせん)や耳下腺(じかせん)、頸動脈などの器官があります。エコーを用いて検査することで、甲状腺・顎下腺・耳下腺の腫瘍や、動脈硬化の進行度などが確認できます。
乳腺エコー
乳がんの検査はマンモグラフィーが一般に知られていますが、高濃度乳腺の多い日本人女性では、マンモグラフィーより乳腺エコーのほうがよいと報告されています。乳がんは遺伝性があるといわれているため、ご家族で乳がんを発症された方がいる場合には、年に1回の検査をご提案します。
乳がんが疑わしいしこりが見つかった場合、その場で乳腺の穿刺吸引細胞診を行いがんの有無を検査します。
詳しくはこちら(外部のページ)
整形外科エコー
エコー検査では、レントゲン同様に骨の検査が行えるほか、レントゲンには映らない筋肉や腱、じん帯なども観察できます。そのため、肋骨骨折や変形性膝関節症、関節水腫など、さまざまなケガ・病気の診断に使用することが可能です。また、エコー検査は2~3分でできるため、お時間もかかりません。
超音波検査の症例
乳腺・甲状腺エコー(表在エコー)
6.5ミリの乳がん
乳腺超音波検査 11MHzの表在臓器用プローブを使用して検査します。日本人女性は高濃度乳腺が多いためマンモグラフィーよりエコー検査がおすすめです。良性、悪性の鑑別には超音波ガイド下生検を行います。
8ミリの乳がん
8ミリの早期乳がんです。約半年前に行った前回の乳腺エコー検査では異常を指摘できなかった症例です。エコー検査は無侵襲な検査ですので乳がんを早期に発見するためには少なくとも年一回はエコー検診を受けてください。
頸動脈超音波検査(高安動脈炎の症例)
脳血管障害や虚血性心疾患の指標になると言われている頸動脈の状態を超音波検査により見ることができます。動脈硬化病変以外にも写真のように動脈の壁が厚くなる大動脈炎症候群(高安動脈炎、16歳、女性)のような全身性のまれな疾患が見つかることもあります。
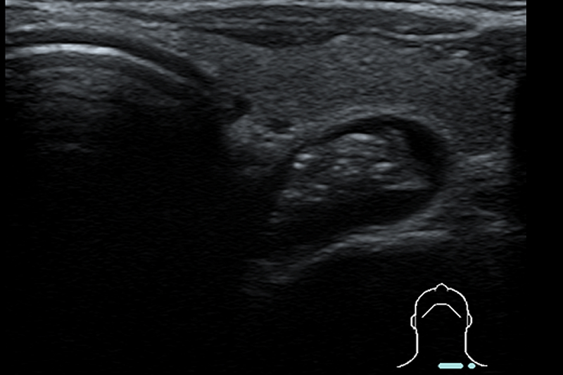
良性甲状腺腫瘍
甲状腺の画像検査としてもっとも有効なのは超音波検査です。腫瘍の大きさ、形、腫瘍内部の状態などを観察して良性か悪性かの鑑別を行います。甲状腺腫瘍の大部分は良性腫瘍であり基本的には経過観察でよいものがほとんどですが、この症例のようにサイズが大きく気管や血管、食道を圧迫している場合は手術が必要です。

頚部食道憩室
頚部食道憩室(Zenker憩室)は甲状腺腫瘍と間違われやすいので、食道との連続性の有無に留意して検査することが必要です。
静脈エコー(表在エコー)
下肢深部静脈血栓症
下肢深部静脈血栓症は急性期に重篤な急性肺血栓塞栓症を来すことがあるため早期に疑診断することが重要です。四肢では,迅速に確定診断できる非侵襲的な静脈エコーが第一選択となる検査です。
症例は40代の男性、3~4日前より左下肢の発赤、腫脹、疼痛があるため当院を受診されました。静脈エコーにて下肢の深部静脈に血流はなく血栓を認めたため緊急に大学病院を紹介致しました。造影CT検査の結果、深部静脈血栓症であり一部肺動脈にも血栓を認めました。
整形外科エコー(表在エコー)
肋骨骨折の診断にはレントゲンより超音波が有用な検査です。
変形性膝関節症
膝関節水腫
腹部エコー
解離性大動脈瘤
突然の胸痛、背部痛で発症します。腹部超音波検査で大動脈内腔に異常線状エコーを認め解離性大動脈瘤と診断できます。この症例はStanford A型で当クリニック初診当日に大学病院転院となり緊急手術となりました。まれな疾患ですが、プライマリーケアーを担う医師としてこの病気ほどすばやい診断が必要な病気はありません。
膵臓がん
60歳、女性の膵臓がんです。自覚症状はなく、腹部エコー検査で膵管拡張を認め、精密検査の結果膵頭部に2cmの膵臓がんを認めました。膵臓から十二指腸へ通じている膵管が拡張している状態を膵管拡張と言います。膵管内に石や腫瘍などがあり通過障害をおこしていることが考えられますので、多くの場合、経過観察や精密検査が必要となります。膵管拡張や膵嚢胞を伴う症例では膵がんが高頻度に検出され腹部超音波は簡便で侵襲のない検査として、外来診療に有用です。
74歳、女性、膵体部の約2cmの大きさの膵臓がん
小児の腸重積
4歳、男児の腸重積です。超音波で入り込んだ腸により的(ターゲット)のような像が見られ早期に診断することができます。
小児の消化器症状として腹痛、下痢、嘔吐、発熱などがよく見られますがよりよい診断をするためには超音波検査は欠かせません。腸重積以外にも日常診療では急性虫垂炎、腸管膜リンパ節炎、ウイルス性腸炎、細菌性腸炎などの診断が超音波で可能です。
大腸憩室炎
大腸憩室とは大腸の壁が袋のように腸管外に飛び出している状態をいいます。これに糞石等が詰まり炎症が起こるのが憩室炎で、腹痛の原因疾患として多く見られ、日本人は右側に多く発生するため虫垂炎と間違われやすい病気です。
腹部超音波検査では、大腸壁から球形に突出する低エコー域として認められ、その特徴的な所見より大腸憩室炎と診断できます。抗生物質の経口投与で2~3日で改善することが多いので、超音波検査で発症早期に診断することが大事です。
上腸間膜静脈血栓症
28歳、女性、数日前より腹痛があり、痛みが強くなってきたため当クリニックを受診されました。
腹部エコー所見では上腸間膜静脈が腫大しており上腸間膜静脈血栓症の疑いで緊急に大学病院を受診していただきました。精密検査の結果、上腸間膜静脈血栓症であり門脈、脾静脈にも血栓がみられましたが無事に救命されました。ピルを内服されており副作用の静脈血栓症が原因として考えられています。
ウイルス性腸炎
小腸内に腸液が貯留して拡張した小腸を認めます。 原因としてロタウイルス・アデノウイルス・ノロウイルスなどがあげられますが、ウイルス性腸炎の場合は特効薬はないので、脱水を防ぐためのこまめな水分補給、安静、整腸剤内服などの対症療法となります。
大腸炎
大腸炎では大腸壁の肥厚が認められます。ほとんどが細菌性大腸炎であり抗生物質の内服治療が必要です。他に鑑別すべき疾患として虚血性大腸炎、潰瘍性大腸炎などがあります。
小腸イレウス
貯留液により拡張した腸管ループを認め腸閉塞と診断できます。
胸水
胸部レントゲンではわからないような少量でも超音波検査では胸水の診断が可能です。
尿管結石
拡張した尿管を下方に追っていくと尿管閉塞部位に高エコーの結石像を描出できます。
膀胱がん
膀胱に腫瘤を認めた場合は膀胱がんであることが多く、泌尿器科にて膀胱鏡を行っておく必要があります。